Fracture de fatigue du pied
Fracture de fatigue du piedC'est une blessure sportive fréquente, particulièrement pour les personnes en excellente condition physique. Elle a surtout lieu sur les os qui supportent le poids du corps, tels les os des membres inférieurs : tibia, fibula et métatarses. Elles constituent entre 0.7 et 20% des traumatismes secondaires au sport.
Une telle fracture est due à un stress répété ou excessif, qui ne permet pas aux ostéoblastes de réparer à temps les dommages faits à l'os car il y a débalancement entre la formation osseuse et la résorption osseuse. Elle survient sur un os sain.
Par exemple, cette blessure peut survenir quand un entraînement trop intensif est entrepris trop rapidement, et pratiqué sur une surface dure telle que du béton ou du synthétique. Un autre exemple est celui de soldats qui doivent marcher de longues distances.
Une fracture de stress peut aussi avoir lieu lors d'une grande fatigue musculaire. Les muscles et les os servent d'absorbeurs de chocs, donc quand les muscles deviennent trop fatigués pour absorber les chocs, ceux-ci sont transférés aux os.
De plus, l'occurrence passée de fractures de fatigue en augmente les chances de se répéter.
symptômes
Les symptômes incluent de la douleur et de la sensibilité, surtout lorsque le poids est supporté.
La douleur est généralement très localisée sur un point précis de l'os.
Lors d'une course, il est typique que la douleur soit intense au début, modérée au milieu puis sévère à la fin et après son exécution.
Au début la douleur peut disparaître le lendemain de l'effort, mais finit par ne plus partir si l'activité est répétée.
La localisation de la fracture dépend de l'activité ou du sport exercé. Elle est, par exemple, plus fréquente sur le calcanéum chez le jeune militaire, non encore habitué aux longues marches.
Diagnostic
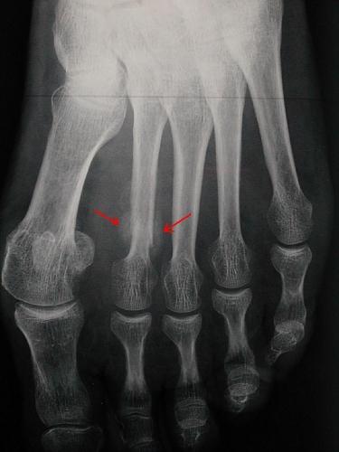
Pour vérifier la présence d'une fracture de stress, la radiographie n'est pas toujours efficace au début de la fracture, voire jamais dans certains cas. On peut donc utiliser la scintigraphie osseuse, la tomodensitométrie ou l'IRM pour un diagnostic précoce ; ou la radio standard différée d'une dizaine de jours.

Traitements
Si la fracture de stress se situe sur un os qui supporte le poids du corps, la guérison peut être retardée ou arrêtée si l'on continue à mettre du poids sur cet os.
Le repos est la seule façon de guérir une telle fracture. Le temps de guérison varie de 4 à 8 semaines. L'activité ayant causé la fracture doit être évitée durant la première semaine. Pour le restant de la récupération, on n'effectue qu'une activité légère.
Dans certains cas, de la stimulation électromagnétique des os les aide à se reformer. Dans d'autres cas, on chausse une botte de plastique dur (une orthèse). Des semelles amortissantes peuvent être prescrites pour atténuer les vibrations lors de la récupération. Enfin, pour les fractures de stress graves, la chirurgie peut être nécessaire et la réhabilitation peut prendre six mois.